Osteoarthritis of the knee joint (gonarthrosis)is a chronic progressive disease of the knee joints with damage, thinning and destruction of its cartilaginous part (joint surfaces of the femur and tibia), as well as damage to the subchondral bone.It has been proven by studies (arthroscopy and MRI) that in addition to damage to the articular cartilage, the menisci and the synovial membrane are involved in the process.Gonarthrosis is one of the most common orthopedic pathologies.There are its synonyms - osteoarthritis (OA), deforming osteoarthritis.The disease constitutes an important socio-economic problem, since it is widespread and significantly deteriorates the quality of life of patients due to constant pain and, in addition, it becomes a cause of high disability.

Until the mid-80s of the last century, there was no unified definition of the disease.It was not until 1995 that the Osteoarthritis Committee of the American College of Rheumatology characterized the disease as the result of mechanical and biological factors leading to an imbalance between the processes of degradation and synthesis of the extracellular matrix of articular cartilage.As a result, disintegration and degeneration of fibers occurs, cracks, osteosclerosis and compaction of the cortical layer of the subchondral bone are formed, osteophytes develop and subchondral cysts are formed.
Why does osteoarthritis of the knee joint occur?
Risk factors for osteoarthritis include:
- chronic trauma (violation of physical activity, excess weight);
- endocrine, inflammatory, metabolic and ischemic diseases;
- the presence of congenital or acquired disorders of the relationships, shape or structural organization of the joint ends.
If you notice similar symptoms, consult your doctor.Do not treat yourself, it is dangerous for your health!
Symptoms of osteoarthritis of the knee joints
Osteoarthritis of the knee joint is characterized by:
- gradual onset;
- slight pain in the joint when moving, especially when going up and down stairs;
- "tightness", stiffness and "starting pain" which occur during the first steps and diminish or disappear if the patient "diverges", after significant physical activity he resumes.
- the appearance of the knee remains the same.Sometimes there is slight swelling or fluid buildup in the joint.At the same time, the knee increases in volume, swells, flattens and restrictions in movement and heaviness are felt.
Painful sensations
As the disease progresses, the pain becomes more intense, appearing even with minor exertion and long walks.Located along the anterointernal surface of the joint.Prolonged rest usually helps the pain go away.
Limited mobility of the knee joint and characteristic cracking
With osteoarthritis, the range of joint motion may decrease, tightening may appear, and sharp pain appears when the leg is bent to the maximum.
Knee malformation
The configuration of the joint changes, as if it is enlarging.
Synovitis
Synovitis of the knee joint is an inflammation of the inner lining of the joint.The disease is manifested by swelling of the knee, redness of the skin and limited mobility of the joint.With the development of osteoarthritis, synovitis occurs more often, lasts longer and involves a large amount of fluid.
The last stage of gonarthrosis is distinguished by the fact that the pain becomes almost constant, causing anxiety not only when walking, but also at rest, and even at night, when patients have to look for a comfortable position to sleep.Movements are more limited: it is difficult to completely bend and straighten the leg.The joint deforms and increases in volume.A valgus (X-shaped) or varus (O-shaped) deformity of the legs is often observed.Gait becomes unstable and waddles.In severe cases, a cane or crutches are necessary.

According to researchers, 76% of elderly people who complain of knee pain have x-rays showing knee osteoarthritis.According to statistics, women are more often affected by the disease, which is associated with hormonal changes after 45 years.
Pathogenesis of osteoarthritis of the knee joints
There are primary and secondary osteoarthritis.
Primary osteoarthritis of the knee joint
- Articular cartilage is constantly destroyed and renewed;normally these processes are balanced.With age, cartilage turnover slows and destruction begins to predominate, which is called the process of degradation or degeneration.The weight of a person plays an important role, since with a mass of 70 kg in 20 steps we carry 700 kg on each leg (70 kg x 10 steps), and with a mass of 120 kg we already carry 1200 kg on each leg.Therefore, weak cartilage wears out much more quickly;
- it is necessary to remember: the joint receives nutrients and regenerates while it moves;A sedentary lifestyle reduces metabolic processes and the necessary elements do not reach the cartilage;
- There is controversial evidence about the hereditary role in the onset of the disease.If the parents suffered from osteoarthritis, the likelihood of its occurrence in children increases;
- occurs due to autoimmune synovial inflammation.
Secondary osteoarthritis of the knee joint
- injuries (fractures, ruptures of the meniscal and anterior cruciate ligament).Unfortunately, in anyone, regardless of age, these injuries cause excessive stress on the cartilage.A fracture of any part of the bones covered with cartilage is accompanied by the formation of an irregularity - a “step”.In this area, when moving, abrasion occurs and osteoarthritis forms;
- rheumatoid arthritis, Koenig's disease (osteochondritis dissecans), consequences of purulent inflammation of the joint (gonitis), etc.
- regional vascular disorders;
- chronic exudative-proliferative adhesive and scar processes in the joint.

With osteoarthritis (osteoarthritis), in addition to the gradual destruction of cartilage, loss of its elasticity and cushioning properties, bones are gradually involved in the process.Under load, sharp edges (exostoses) appear, which are incorrectly considered "salt deposits" - with classic osteoarthritis, no salt deposits occur.As osteoarthritis progresses, it continues to “eat” the cartilage.Then the bone deforms, cysts form on it, all structures of the joint are affected and the leg bends.
In addition to the inner or outer part of the knee, osteoarthritis can also affect the surfaces between the patella and the intercondylar groove of the femur.This option is calledpatellofemoral osteoarthritis.
Its cause is generally a subluxation, fracture or lateralization of the patella.

Classification and stages of development of osteoarthritis of the knee joints
Whatever the cause, there are three stages of knee osteoarthritis, or deforming osteoarthritis of the knee joint.
Gonarthrosis, stage I
The first stage of the disease is characterized by primary changes in hyaline cartilage.Bone structures are not affected.Blood supply to intraosseous vessels and capillaries is disrupted.The surface of the cartilage becomes dry and loses its softness.If the disease is accompanied by constant tension synovitis, a Baker cyst develops (hernial protrusion of the joint capsule of the popliteal region).After significant stress on the joint, dull pain appears.There may be slight swelling which disappears after rest.There is no deformation.
Gonarthrosis, stage II
At the second stage, the cartilaginous layer becomes noticeably thinner and in some places is completely absent.Osteophytes appear along the edges of the joint surfaces.The qualitative and quantitative characteristics of the synovial fluid of the joint change: it becomes thicker, more viscous, which leads to a deterioration of its nutritional and lubricating properties.The pain is more prolonged and intense, and a crunching sound often appears when moving.There is mild or moderate restriction of movement and slight deformity of the joint.Taking painkillers helps relieve pain.
Gonarthrosis, stage III
Lack of cartilage in most affected areas, severe sclerosis (hardening) of the bone, numerous osteophytes, and pronounced narrowing or absence of the joint space.The pain is almost constant, gait is impaired.Mobility is severely limited and joint deformation is noticeable.NSAIDs, physiotherapy and other standard methods of treating osteoarthritis of the knee are ineffective.
Types of knee osteoarthritis
Depending on the number of joints affected, we distinguish between unilateral and bilateral knee osteoarthritis.
Complications of osteoarthritis of the knee joints
The most common complication of stages II and III is tendovaginitis of the adductor muscle group of the thigh.This manifests itself as pain along the inner surface of the joint, which intensifies with movement.The cause is muscle imbalance and deformation.With a long-term decrease in range of motion, contracture develops.Additionally, synovitis often occurs.
Consequences of advanced knee osteoarthritis
Knee osteoarthritis affects the entire musculoskeletal system, disrupting the biomechanics of the spine and other large joints of the lower extremities.This can lead to a herniated disc and arthritis of other joints.The second knee joint is overloaded (if the disease is one-sided), since the patient spares the painful leg, transferring the weight to the other, healthy one.
Diagnosis of osteoarthritis of the knee joints
Instrumental diagnosis of osteoarthritis of the knee joint
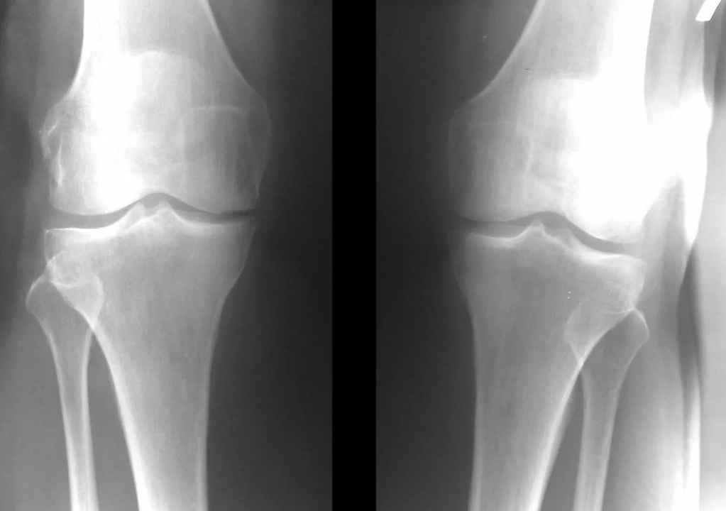
In the vast majority of cases, an examination and an x-ray of the knee joint in two projections (direct and lateral) are sufficient.Clinical data and images help determine the stage of the disease.

In the early stages of the disease, with minor changes in bone tissue, X-ray examination is not so useful.At this stage, knee osteoarthritis can be diagnosed by arthroscopy.The precision of the method is very high;only its invasive nature and its price can stop it.
Ultrasound cannot clearly visualize changes in articular cartilage and intra-articular structures.With MRI, you can detect changes in the bone, cartilage, and soft tissue structures of the joint, as well as the subchondral bone, with an accuracy of 85%.Scintigraphy can be used to assess the metabolic activity of periarticular bone tissue.
Laboratory diagnosis of osteoarthritis of the knee joint
An increased content of phosphorus and calcium in dehydrated synovial fluid testifies to the destruction of the osteochondral tissue of the joint and the accumulation of breakdown products.Blood is also examined - general analysis and erythrocyte sedimentation rate (ESR);determine the level of fibrinogen, urea and other biochemical parameters of blood and urine.
Is it possible to completely cure deforming osteoarthritis of the knee joint?
Gonarthrosis can be completely cured only at the earliest stage of the disease.
Which doctor treats deforming osteoarthritis of the knee joint?
A traumatologist-orthopedist or rheumatologist makes a diagnosis and prescribes treatment.
Treatment of osteoarthritis of the knee joints
Conservative — anti-inflammatory drugs, analgesics, muscle relaxants, vascular, chondroprotectors, compresses, kinesiotaping, physiotherapy, physiotherapy, orthotics.
Minimally invasive- para-articular blockages (Novocaine + drug relieves pain and inflammation), injection of artificial lubricant into the joint itself, plasma lifting.
Surgical — arthroscopy (a low-traumatic method of treating intra-articular pathologies and eliminating damaged structures), endoprostheses.
Drug treatment (medications for the treatment of osteoarthritis of the knee joint)
Conservative methods are most effective at the initial stage of the disease.They help reduce pain and temporarily slow the destruction of cartilage.At stage II, more effective methods are needed.The introduction of hyaluronic acid preparations into the joint cavity is used to reduce friction and trauma to the cartilage.There is no clear evidence of cartilage restoration, but it is good for lubricating surfaces.“PRP therapy” (plasmolifting) consists of injecting platelet-rich plasma, obtained from the patient’s blood by centrifugation, into the knee joint.It nourishes the cartilage and promotes its restoration, since the autoplasma platelets contain many growth factors and cytokines that promote the regeneration of damaged tissues.
Surgical treatment and endoprostheses
Endoprosthesis replacement is a common and effective surgical method for treating severe knee osteoarthritis, which allows you to maintain limb mobility and the ability to lead a full life afterward.This is a high-tech operation that takes about an hour and a half.In the postoperative period, rehabilitation and long-term development of the joint are necessary.After 25 to 30 years, when the artificial joint wears out, it must be replaced again.

Physiotherapy and physiotherapy
Physiotherapy and physiotherapy methods for the treatment of osteoarthritis of the knee joint are ineffective.
Diet therapy
A diet is only necessary to maintain a normal weight;there are no restrictions on the consumption of certain foods for knee osteoarthritis.
Does blocking help fight knee osteoarthritis?
For osteoarthritis of the knee joint, a paraarticular block is used - an injection of the drug into the soft tissues around the joint.During the procedure, the area of inflammation and painful points near the joint are determined, the skin is treated with alcohol and hydrocortisone with an anesthetic is injected into this area.
Therapeutic exercises for osteoarthritis
Therapeutic exercises are useful both for patients suffering from knee osteoarthritis and for the prevention of this disease.Effective exercises:
- full flexion and extension of the leg, lying on the back;
- Raise one straight leg while lying on your back.
Forecast.Prevention
You need to understand that if osteoarthritis begins to develop, it must be treated immediately.If you are at risk of contracting this disease, you can delay its onset, for this it is recommended:
- reduce stress on the knee joint;
- swim - water relieves stress;
- massage the muscles of the lower leg and thigh yourself;
- avoid hypothermia and overexertion;
- maintain normal weight;
- stop smoking and drinking alcohol;
- women wear comfortable low-heeled shoes;
- do physiotherapy
Before starting therapeutic exercises, you should definitely consult your doctor.The exercises are performed at a slow pace.If pain or discomfort occurs during gymnastics, the exercises should be stopped.
It is necessary to use only effective drugs.Rubbing, compresses and other traditional methods are ineffective;they do not act on the cause of the illness, but only help to distract attention from the pain.Avoid injuries and overloads - jumping, carrying heavy objects, standing for a long time or sitting in an uncomfortable position.This accelerates the progression of the disease.
It is also necessary to promptly diagnose and treat rheumatoid arthritis, gout and systemic diseases.
What factors influence the long-term prognosis of knee osteoarthritis?
The prognosis depends on the stage at which the patient turned to the doctor and the appropriate treatment.The sooner you start appropriate treatment, the greater your chances of avoiding surgery.






















